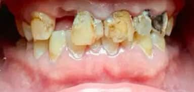
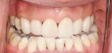
Are you missing one or more teeth and looking for a durable, aesthetically pleasing, and long-lasting solution? Dental implants at Perfect Smiles Dentistry offer a revolutionary way to restore your smile’s function, beauty, and confidence. Unlike traditional bridges or dentures, dental implants provide a permanent foundation for replacement teeth that look, feel, and function just like your natural ones.
Why Choose Perfect Smiles for Your Dental Implants?
- Experienced Surgical Team: Our team has over 20 years of experience in advanced dental procedures, including surgical implant placement.
- Permanent & Natural Results: Dental implants are fused directly with your jawbone, offering unparalleled stability. This means your new teeth will feel secure and blend seamlessly with your existing smile.
- Trusted Local Care: With a 4.7 Google rating from hundreds of satisfied patients, our commitment to excellence and compassionate care is evident.
- Comfort-First Approach: We prioritize your comfort throughout the entire implant process. Our team is dedicated to providing a pain-free experience in a welcoming and supportive environment.
- Comprehensive Dental Home: From your initial consultation to the final restoration and beyond, Perfect Smiles offers complete care under one roof. We manage every step of your implant journey, ensuring a cohesive and stress-free experience.
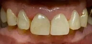
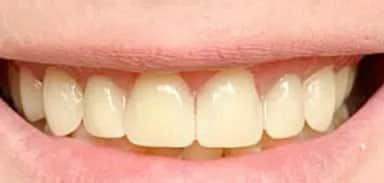
What Are Dental Implants?
A dental implant is a type of false tooth. It consists of three parts: the implant post, the abutment, and the crown.
The post is a titanium screw which is surgically placed into the jawbone. The crown, usually made from porcelain or zirconium, sits above the gum, and the abutment goes in the middle to hold everything securely in place.
The result is a natural-looking and safe dental restoration which will allow you to talk, smile and eat without feeling conscious about your missing tooth.